Открытое овальное окно (ООО) — врожденный порок сердца, характеризующийся наличием сообщения между правым и левым предсердиями, обусловленный неполным анатомическим закрытием овального окна после рождения. У плода это физиологическое отверстие обеспечивает обход легочного кровообращения и обычно закрывается в раннем постнатальном периоде. При сохранении ООО возможны эпизоды внутрисердечного сброса крови справа налево, особенно при временном или постоянном повышении давления в правом предсердии (например, при лёгочной гипертензии). Клиническое значение ООО определяется индивидуально: в ряде случаев оно ассоциируется с риском парадоксальной артериальной эмболии, мигренью с аурой и ишемическим инсультом, особенно при наличии сопутствующих факторов риска. Диагностика подтверждается с помощью эхокардиографии (транскраниального или трансэзофагеального исследования) с контрастным («Bubble») тестом и/или допплеровских методик. Клиническая тактика (консервативное наблюдение, антикоагулянтная/антиагрегантная терапия, оперативное вмешательство в виде эндоваскулярной имплантации окклюдера) определяется на основе сопутствующих событий (тромбоэмболии, неврологические эпизоды), размеров дефекта и характера сброса крови, а также сопутствующих факторов риска.
История открытия и исследования открытого овального окна напрямую связаны с развитием таких наук, как анатомия и кардиология. В XVII веке итальянский анатом Марчелло Мальпиги впервые описал строение сердца и его сосудистой системы. Однако только в XIX веке, благодаря развитию физиологии и углубленному пониманию функции сердца, стало ясно, что овальное окно играет важную роль в гемодинамике. Интересно, что интерес к изучению влияния открытого овального окна на здоровье человека появился лишь в XX веке, после сообщений о его связи с артериальными эмболиями и инсультами у молодых людей. В 1980-х годах начались активные исследования этой патологии, что быстро привело к совершенствованию методов диагностики и лечения.
Согласно современным исследованиям, распространенность открытого овального окна среди населения составляет от 10% до 25%, что делает его одним из наиболее распространенных врожденных пороков сердца. Обычно оно обнаруживается у молодых людей, при этом многие пациенты могут оставаться в неведении о наличии у себя этой патологии на протяжении всей жизни. По результатам многолетних наблюдений крупной группы исследователей, у 30–40% пациентов с ишемическим инсультом в возрасте до 55 лет выявляется открытое овальное окно как сопутствующий фактор. Кроме того, у 66% пациентов, страдающих мигренью с аурой, отмечается наличие этого порока, что подчеркивает его важность в клинической практике.
Диагностика открытого овального окна (ООО) основывается на комплексном подходе, включающем клинические проявления, инструментальные и лабораторные методы обследования.
Основные признаки, которые могут свидетельствовать о наличии ООО, включают:
- Регулярные приступы головной боли или мигрени;
- Неврологические симптомы, напоминающие инсульт: онемение, мышечная слабость в одной половине тела, нарушения речи;
- Церебральная эмболия без явных источников или парадоксальная эмболия.
Лабораторные анализы, хотя и неспецифичны, необходимы для исключения других заболеваний. Инструментальные методы, особенно эхокардиография, играют ключевую роль в подтверждении диагноза. Трансэзофагеальная эхокардиография обладает высокой точностью в выявлении дефекта. В отдельных ситуациях может потребоваться инвазивная диагностика, например, катетеризация правых отделов сердца. При установлении диагноза важно провести дифференциальную диагностику, чтобы исключить другие возможные причины мигреней, инсульта и тромбоэмболических осложнений.
Лечение открытого овального окна (ООО) подбирается индивидуально, с учётом клинической картины и степени выраженности симптомов. Консервативная терапия может включать поддержание адекватного уровня гидратации, контроль артериального давления.
Медикаментозное лечение направлено на профилактику тромбообразования и включает назначение препаратов из группы антиагрегантов и антикоагулянтов.
Хирургическое вмешательство заключается в транскатетерном закрытии овального окна и рекомендуется пациентам с высоким риском тромбоэмболических осложнений.
Кроме того, лечение может дополняться реабилитационными мероприятиями и коррекцией образа жизни с целью снижения рисков и улучшения общего состояния пациента.
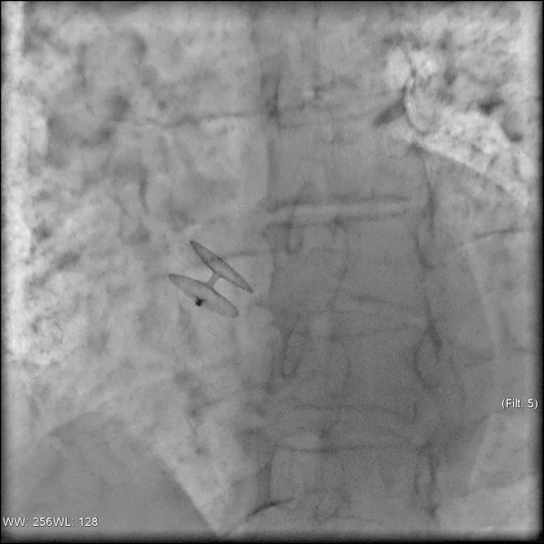
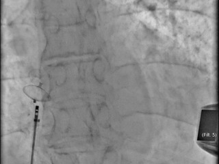
Как проводится хирургическое лечение открытого овального окна? Транскатетерное закрытие аномалии межпредсердной перегородки осуществляется с применением специализированных окклюдерных систем. Процедура проводится под контролем рентгеноскопии и эхокардиографии. Методика включает введение катетера с окклюзионной конструкцией через бедренную вену до достижения правого предсердия. После позиционирования устройства оно раскрывается и надежно фиксируется по обе стороны дефекта в межпредсердной перегородке, обеспечивая эффективное закрытие овального отверстия. В Волынской больнице специалисты первого кардиологического отделения и отделения рентгенохирургических методов диагностики и лечения проводят подготовку и выполняют данный вид хирургического эндоваскулярного вмешательства.
13 января 2026 г.
Ещё больше полезной информации на нашем канале в Max и Telegram


